


Как подготовится к рентгенографии?
Вы получили направление/рекомендацию Вашего врача для прохождения рентгеновского исследования.
Что делать дальше?
Если вы не беременны на момент прохождения исследования — противопоказаний к исследованию не будет.
Определяем подготовку согласно исследуемой области.
Специальной подготовки требуют следующие области:
— Рентгенография поясничного отдела позвоночника, крестца, копчика, костей таза
— Урография (обзорная и внутривенная)
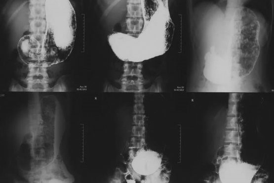
— Рентгеноскопия пищевода, желудка
— Ирригоскопия (исследование толстого кишечника)
ПРАВИЛА ПОДГОТОВКИ К РЕНТГЕНОГРАФИИ ПОЯСНИЧНОГО ОТДЕЛА ПОЗВОНОЧНИКА, КРЕСТЦА, КОПЧИКА, КОСТЕЙ ТАЗА
1. Очистить кишечник накануне и за 2 часа до исследования
(очистительная клизма или микролизма МИКРОЛАКС или ФОРТРАНС)
2. ЭСПУМИЗАН в день накануне исследования 3 р/д и в день исследования с утра по 2-3 капсулы
3. В день исследования за 2 часа до исследования 1 таблетка НО-ШПА
ПРАВИЛА ПОДГОТОВКИ К РЕНТГЕНОСКОПИИ ПИЩЕВОДА
Не есть за 4 часа до исследования.
Последний прием пищи должен быть легким, не содержать жирных, жареных и молочных продуктов.
Воздержаться от курения
ПРАВИЛА ПОДГОТОВКИ К РЕНТГЕНОСКОПИИ ЖЕЛУДКА
Ничего не есть с вечера на кануне исследования минимум за 8 (восемь) часов до исследования.
Последний прием пищи должен быть легким, не содержать жирных, жареных и молочных продуктов.
Воздержаться от курения.

ИСТОРИЯ КРУЖКИ ЭСМАРХА
ИЛИ
КТО ПРИДУМАЛ КЛИЗМУ?

Вероятно, египтяне
«Образ же жизни египтян вот какой. Желудок свой они очищают каждый месяц три дня подряд, принимая слабительные с детства, и сохраняют здоровье рвотными и клистирами. Ведь по их мнению, все людские недуги происходят от пищи».(«История»; V в. до н. э.)

Или может быть Гиппократ?
Отец античной медицины не только многократно писал о пользе голодания во время болезни, но и рекомендовал против желудочных хворей клистир, «опорожняющий и освежающий».

Римлянин Цельс
(II век н. э.):
«Если расстройство — из длительных, следует вводить в задний проход либо теплую кашу из перловой крупы, либо молоко, либо измельченный жир, либо костный мозг оленя, либо оливковое или розовое масло с маслом коровьим, либо сырой белок яйца, либо отвар льняного семени…»
*Пожалуйста не повторяйте, иногда они сами не знали, что делали…
О рентгенологии интересно

ДОЛГО И НАСТОЙЧИВО ГОТОВИМСЯ К МРТ

Флюорография или рентгенография легких. Что делать, и кто виноват?

ЛОХАНОЧНО-ПОЧЕЧНЫЙ РЕФЛЮКС

Бусы могут быть не только на шее, но и внутри нее.

ПРОГРАММА ВНЧС

Разбираемся с пазухами на рентгене. Первые шаги.

МАММОГРАФИЯ: ДАВИТЬ ИЛИ НЕ ДАВИТЬ?

ЭРЕКТИЛЬНАЯ ДИСФУНКЦИЯ

Что выбрать: КТ или МРТ?

