


Раз в вашей жизни или в жизни близкого Вам человека такая проблема есть, рассказываю, как с ней бороться.
1. Обращаемся к урологу-андрологу. У андролога вы проходите анкетирование, чтобы установить истинные причины ЭД. Помните простой тест на ЭД с бумажным колечком в «Сексе в большом городе», используемый Шарлоттой для ее мужа?
Для меня флагманским учреждением Санкт-Петербурга является Клиническая больница Святителя Луки и Евгений Александрович Гринь.
2. Далее УЗИ. Определяем, что же первично: недостаточность притока артериальной крови или патологический венозный сброс. Или у нас все хорошо, и уролог полечит медикаментозно.
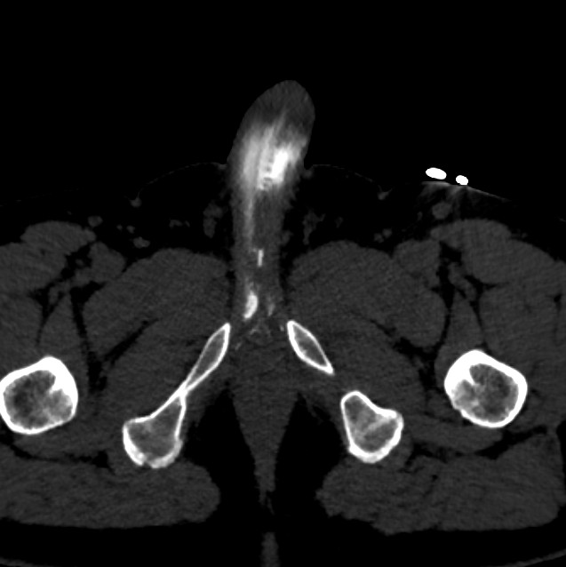
3. При венозной утечке уролог может отправить вас на абсолютно демоническую методику (которой в целом я и занималась) — КТ-кавернозографию. Однако, именно этот метод демонстрирует нам куда что утекает, и с какими сосудами будет работать сосудистый хирург. Хирург эмболизирует те сосуды, в которые происходит венозная утечка, таким образом на длительной время (пока не развились новые венозные коллатерали) обеспечит поддержание эрекции.
4. В самых сложных ситуациях тоже есть выход — установка фаллопротеза.
Жизнь можно и нужно делать лучше, не стоит бояться обращаться к врачам со своими проблемами, мы для этого и существуем.
Будьте здоровы!
О рентгенологии интересно

Что выбрать: КТ или МРТ?

ПОДГОТОВКА К КОМПЬЮТЕРНОЙ ТОМОГРАФИИ

Для чего делать клизму перед рентгеном?

ДОЛГО И НАСТОЙЧИВО ГОТОВИМСЯ К МРТ

Флюорография или рентгенография легких. Что делать, и кто виноват?

ЛОХАНОЧНО-ПОЧЕЧНЫЙ РЕФЛЮКС

Бусы могут быть не только на шее, но и внутри нее.

ПРОГРАММА ВНЧС

Разбираемся с пазухами на рентгене. Первые шаги.

