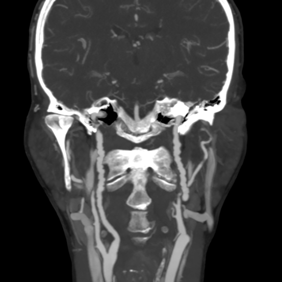
«Богатства», нанизанные на нитку — одно из самых древнейших украшений. Самые древние бусы, известные историкам, возрастом более 100 тысяч лет. Они найдены в пещере Схул в Израиле, и изготовлены из маленьких раковин.
Бусы, о которых поговорим мы, найдены в шее одной из прекрасных пациенток, посетивших меня на КТ.
О рентгенологии интересно

ПРОГРАММА ВНЧС
Это ссылка на программу для описания ВНЧС. Программа создана для операционной системы Microsoft Windows и открывается...

Разбираемся с пазухами на рентгене. Первые шаги.
Учимся разбираться в снимках пазух.
Рентгенологи все это делать умеют прекрасно, а вот например терапевты и обычные...

МАММОГРАФИЯ: ДАВИТЬ ИЛИ НЕ ДАВИТЬ?
Просматривая вечером выходного дня фильмы «Конклав» и «Бруталист», решила найти пару свежих статей о компрессии...

ЭРЕКТИЛЬНАЯ ДИСФУНКЦИЯ
От флюорографии к эректильной дисфункции. Как вам? Достаточно интересно?
Тем не менее. Проблема важная. В нашей...

Что выбрать: КТ или МРТ?
Этот вопрос ставит в тупик не только пациентов, но и бывалых терапевтов, гастроэнтерологов, лор-врачей и многих...

ПОДГОТОВКА К КОМПЬЮТЕРНОЙ ТОМОГРАФИИ
Один из самых любимых для меня методов диагностики — это компьютерная томография. Для различных областей исследования...

Для чего делать клизму перед рентгеном?
Даже такой, казалось бы, простой метод как рентгенография тоже требует подготовки. Часто петли кишки мешают...

ДОЛГО И НАСТОЙЧИВО ГОТОВИМСЯ К МРТ
Если Вам назначили пройти МРТ — подготовьтесь к нему хорошо сразу. МРТшники — существа нежные, им и перистальтика...

Флюорография или рентгенография легких. Что делать, и кто виноват?
Поговорим об обязательном обследовании легких, научимся различать рентгенографию легких от флюорографии, перестанем...

ЛОХАНОЧНО-ПОЧЕЧНЫЙ РЕФЛЮКС
Лоханочно-почечный рефлюкс — обратное затекание содержимого лоханки и чашечек в почечную ткань.





